朝倉市で矯正歯科・マウスピース矯正「インビザライン」なら
〒838-0031 福岡県朝倉市屋永1745-1/バス停「医師会病院入り口」より徒歩3分
休診日:日曜・祝日
ご予約・お問合せはこちら
2022/06/11 管理栄養士梶原
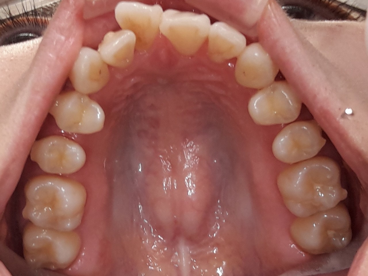
管理栄養士の梶原です!
インビザ開始して6ヵ月がたちました。
下顎は綺麗にそろいましたが、上顎はまだまだです
今は噛み合わせが高くなっているため、「いー」の口のときすき間ができています。
また8か月後に経過報告します!
矯正経験20年以上のインビザラインドクターによるマウスピース矯正「インビザライン」治療を、リーズナブルに受けられます。
マウスピース矯正「インビザライン」や部分矯正「SureSmile(シュアスマイル)」のほか、小児矯正にも対応が可能です。
カウンセリングに力を入れ、一つひとつ丁寧にご説明しながら治療を進めていきます。無料相談も受付中ですので、ご利用ください。
「費用はどのくらいかかるの?」「矯正治療中に痛みはある?」「費用の分割払いは可能?」などの疑問にお答えします。
保育士がいるキッズルームや親子診療室、カウンセリングルームを備え、CTやレーザーなどの先端機器も導入しております。
トップへ
当院では矯正歯科治療でお悩みの方へ無料矯正相談を行っています。お電話かご予約フォームよりお気軽にご連絡ください。
午前:9:00~13:00 午後:14:00~18:00 休診日:日曜・祝日
〒838-0031福岡県朝倉市屋永1745-1
バス停「医師会病院入り口」より徒歩3分
ログイン(あきばれホームページ)