朝倉市で矯正歯科・マウスピース矯正「インビザライン」なら

〒838-0031 福岡県朝倉市屋永1745-1/バス停「医師会病院入り口」より徒歩3分

診療時間
9:00~13:00 ×
14:00~18:00 ×

休診日:日曜・祝日 

ご予約・お問合せはこちら

0946-21-8001

矯正18カ月 終了

こんにちは☀

管理栄養士の梶原です!

ついに、矯正治療が終了しました!

満足度としては、とても高いです!!!

とくに、右の前歯が出っ歯気味になっていたのが、きれいに並んだので、

写真映りがよくなり、とてもうれしいです。

今までは、食事の際にお肉や、麺類などを前歯で噛み切ることができなかったのですが、

今では出来るようになり、食事が楽しくなりました。

今、歯並びが気になっている方など、検討してみるのもいいかもしれません!

ご来院お待ちしております!!!

矯正開始時 正面
矯正終了時 正面
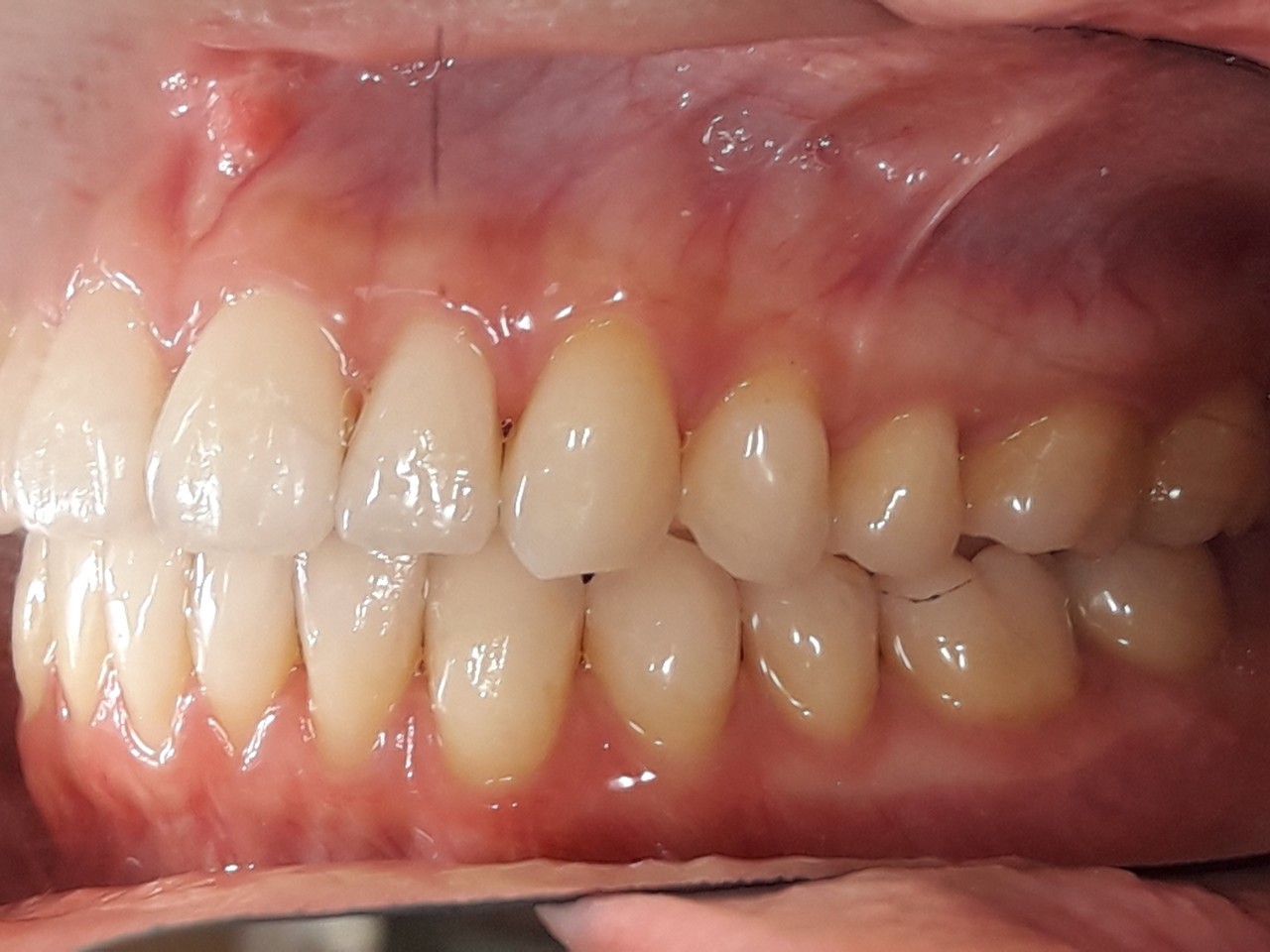
矯正開始時 右
矯正終了時 右
矯正開始時 左
矯正終了時 左

矯正経験20年以上のインビザラインドクターによるマウスピース矯正「インビザライン」治療を、リーズナブルに受けられます。

マウスピース矯正「インビザライン」や部分矯正「SureSmile(シュアスマイル)」のほか、小児矯正にも対応が可能です。

カウンセリングに力を入れ、一つひとつ丁寧にご説明しながら治療を進めていきます。無料相談も受付中ですので、ご利用ください。

「費用はどのくらいかかるの?」「矯正治療中に痛みはある?」「費用の分割払いは可能?」などの疑問にお答えします。

保育士がいるキッズルームや親子診療室、カウンセリングルームを備え、CTやレーザーなどの先端機器も導入しております。