朝倉市で矯正歯科・マウスピース矯正「インビザライン」なら

〒838-0031 福岡県朝倉市屋永1745-1/バス停「医師会病院入り口」より徒歩3分

診療時間
9:00~13:00 ×
14:00~18:00 ×

休診日:日曜・祝日 

ご予約・お問合せはこちら

0946-21-8001

矯正日記

こんにちは。保育士の池添です(^^)/

インビザライン矯正を始めて9か月が経ちました。3か月に一回のブログ更新の日になります(^^♪

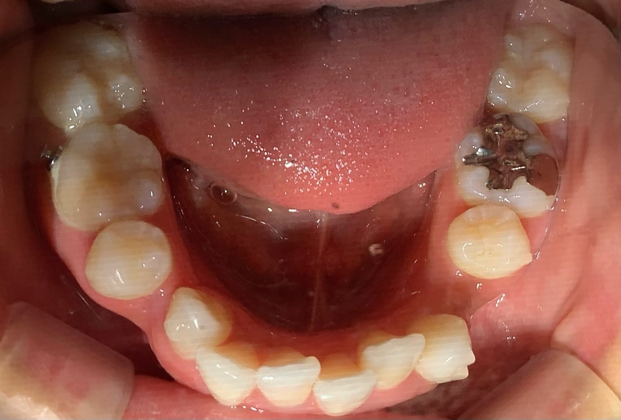
3か月前の写真と比較してみると、上下共に大きな変化が見られるようになってきました。

一つは、2本の八重歯が下に下がり、隣の歯と並んでいるのが分かります。おかげで現在は、ブラッシングがしやすくなり、毎日の歯磨きのストレスが無くなりました。

二つ目は、下の歯がすごくガタガタになっていましたが、現在は、綺麗に並んでいるのが分かります。

9か月が経ち、歯並びの変化があるとともに、噛み合わせが少し違和感に感じることがありますが、引き続きマウスピース装置を付け、様子を見ていきたいと思います。 次回のブログもお楽しみに!★(^^♪

矯正開始6か月後
矯正開始6か月後
矯正開始6か月後
矯正開始9か月後
矯正開始9か月後
矯正開始9か月後

矯正経験20年以上のインビザラインドクターによるマウスピース矯正「インビザライン」治療を、リーズナブルに受けられます。

マウスピース矯正「インビザライン」や部分矯正「SureSmile(シュアスマイル)」のほか、小児矯正にも対応が可能です。

カウンセリングに力を入れ、一つひとつ丁寧にご説明しながら治療を進めていきます。無料相談も受付中ですので、ご利用ください。

「費用はどのくらいかかるの?」「矯正治療中に痛みはある?」「費用の分割払いは可能?」などの疑問にお答えします。

保育士がいるキッズルームや親子診療室、カウンセリングルームを備え、CTやレーザーなどの先端機器も導入しております。